Path Foundation Demo
🔬
36
Browse medical images for pathology analysis
Collection of concept apps built around HAI-DEF open models/libraries to inspire the community. Learn more at http://goo.gle/hai-def`
Browse medical images for pathology analysis
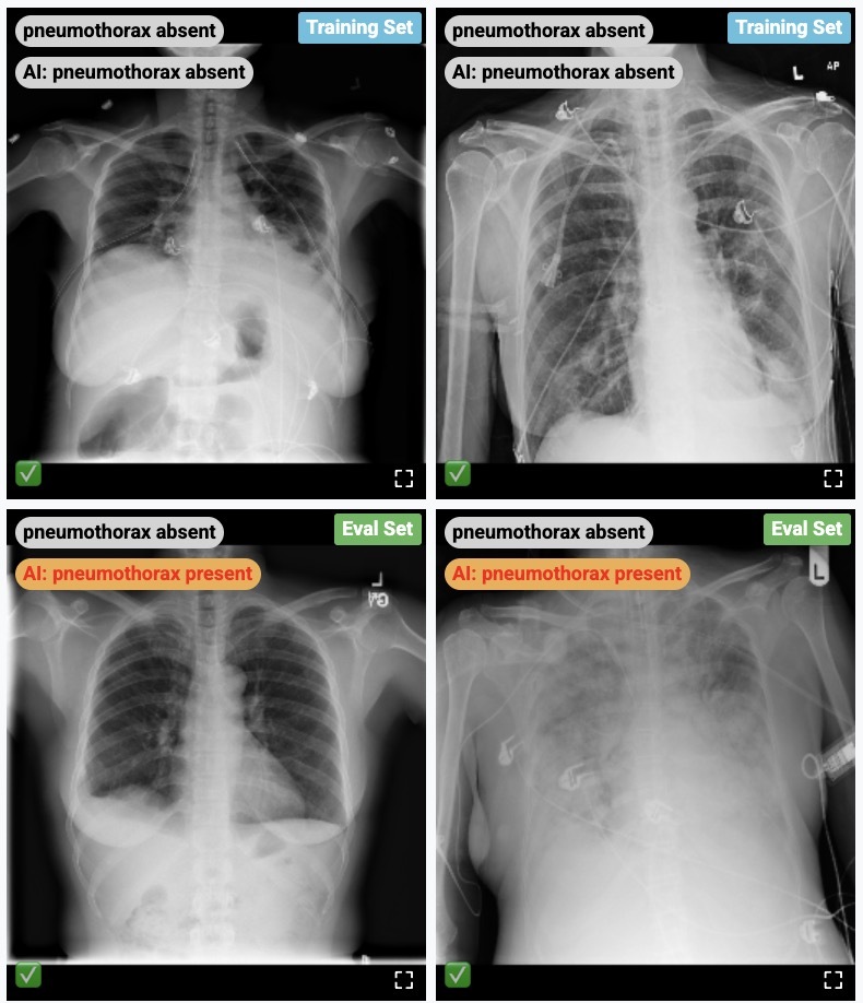
Demo usage of the CXR Foundation model embeddings
Radiology Image & Report Explainer Demo. Built with MedGemma
Simulated Pre-visit Intake Demo built using MedGemma
A demo showcasing a medical learning experience of CXR image
Transform unstructured radiology reports into structured data
Search and navigate electronic health records